Khoảng 40% những trường hợp mất răng đều xuất phát từ nguyên nhân bệnh lý (khoảng 60% còn lại do nguyên nhân va đập ngoại lực hoặc lão hóa do tuổi tác). Vậy những bệnh lý gây mất răng phổ biến nhất là gì và nó nguy hiểm ra sao?
1/ Hai bệnh lý gây mất răng phổ biến nhất hiện nay
Các bệnh lý răng miệng dường như đều có mối liên quan đến nhau, bệnh lý nhẹ nếu không điều trị kịp thời sẽ dẫn những bệnh lý khác nặng hơn, tiềm ẩn nhiều biến chứng nguy hiểm và đặc biệt là nguy cơ mất răng. Theo đánh giá của các chuyên gia nha khoa, sâu răng và viêm nướu là tình trạng thường gặp nhất hiện nay và đồng thời cũng là hai bệnh lý gây mất răng phổ biến nhất trong khoang miệng.
1.1. Sâu răng
Sâu răng là bệnh lý phổ biến thứ 2 trên thế giới chỉ sau cảm cúm và hầu hết mọi người đều chủ quan với nó. Trên thực tế thì sâu răng sẽ không gây mất răng ngay tại thời điểm bệnh bắt đầu mà chính sự chủ quan của người bệnh mới là nguyên nhân gây mất răng.

Sâu răng ban đầu chỉ là cảm giác đau nhức nhẹ, khó ăn nhai và những vệt đổi màu nhỏ trên thân răng. Qúa trình phát triển của sâu răng rất nhanh, từ những vệt đổi màu trắng ngà đậm sẽ chuyển thành màu đen với những lỗ thủng trên bề mặt men răng.
Qua những lỗ thủng ở men răng, vi khuẩn tiếp tục tấn công vào sâu bên trong thân răng, qua lớp ngà răng và đến tủy răng gây ra viêm tủy nghiêm trọng. Đây là giai đoạn sâu răng rất nặng, vi khuẩn đã tích tụ và gây tổn thương nặng đến chân răng, xương ổ răng cũng như các bộ phận quanh chóp răng. Khi những vùng này bị tổn thương thì việc mất răng có thể xảy ra bất cứ lúc nào.
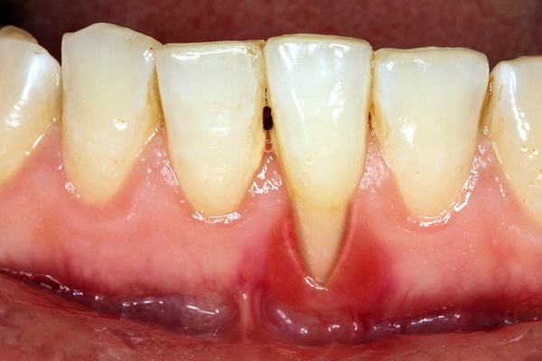
1.2 Viêm nướu
Cũng như sâu răng, viêm nướu cũng là một bệnh lý khá phổ biến, không gây nguy hiểm nếu điều trị sớm. Tuy nhiên, nếu không điều trị kịp thời thì nó tiếp tục kéo theo nhiều hệ lụy nghiêm trọng cho người bệnh và trở thành bệnh lý gây mất răng ám ảnh với nhiều người.

Biểu hiện ban đầu của viêm nướu là tình trạng đổi màu nướu từ hồng sang đỏ, sưng phồng lên và rất dễ chảy máu nhất là khi đánh răng. Tình trạng viêm nhiễm kéo dài sẽ khiến cho nướu bị tụt xuống bên dưới, chân răng lộ ra ngoài. Khi răng không còn điểm bám sẽ trở nên lỏng lẻo, rất dễ bị rụng ra ngoài khi có tác động mạnh hoặc có thể tự rụng ngay cả khi không có bất cứ tác động nào.
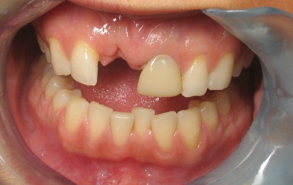
2/ Mất răng do bệnh lý có tự phục hồi được không?
Răng chỉ thay thế một lần duy nhất (từ răng sữa thành răng vĩnh viễn) ở thời điểm bạn 6 – 12 tuổi. Vì vậy tất cả những trường hợp mất răng ở tuổi trưởng thành vì bất cứ lý do nào đều không thể tự phục hồi (tự mọc lại răng thay thế) được.

Trong trường hợp những bệnh lý gây mất răng vĩnh viễn, bạn cần thực hiện các biện pháp phù hợp để trồng lại răng mới, phục hồi khả năng ăn nhai và ngăn tình trạng tiêu xương hàm xảy ra có thể kéo theo mất thêm những răng kế cận.
Hiện nay, trồng răng implant là giải pháp phục hình răng mất tối ưu. Phương pháp này không chỉ giúp răng khôi phục tối đa khả năng ăn nhai, phục hồi thẩm mỹ như thật mà còn giúp ngăn chặn tình trạng tiêu xương răng diễn ra – điều mà phương pháp cầu răng sứ không thể làm được.
>> Tham khảo thêm: Quy trình trồng răng Implant tại Nha khoa Navii
Sau khi phục hồi răng mất do bệnh lý bạn cần chú ý nhiều hơn đến chế độ chăm sóc răng miệng cũng như chế độ ăn uống hàng ngày vì những bệnh lý này hoàn toàn có khả năng tái phát lại hoặc diễn ra ở những vùng răng khác trong khoang miệng.
Bên cạnh đó, bạn cần tạo thói quen thăm khám răng miệng kết hợp lấy cao răng định kỳ 3 – 6 tháng/lần để răng miệng được chăm sóc một cách tốt nhất. Trong trường hợp phát hiện bất cứ dấu hiệu bất thường nào trong khoang miệng, bạn cần thông báo ngay với bác sĩ nha khoa để có biện pháp khắc phục sớm nhất, tránh gây ra biến chứng nguy hiểm về sau, đặc biệt là mất răng.

Bệnh lý gây mất răng nguy hiểm sẽ trở thành bệnh lý răng miệng đơn giản và không gây ra bất cứ ảnh hưởng nào nếu bạn thực hiện điều trị sớm, đúng cách tại nha khoa uy tín. Mọi thắc mắc liên quan, bạn có thể liên hệ đến hotline 024.3747.8292 của Nha khoa Navii để được tư vấn cụ thể.


