Cao răng màu gì sẽ còn phụ thuộc vào nhiều yếu tố, đặc biệt là tình trạng răng miệng cụ thể. Ngược lại, màu sắc cao răng cũng chính là biểu hiện rõ ràng nhất để nhận biết khoang miệng mình đang gặp vấn đề gì. Hãy cùng bài viết dưới đây tìm hiểu về vấn đề này một cách chi tiết nhất!
1/ Cao răng màu gì?
Nhiều người chỉ biết rằng cao răng là những mảng bám cứng chắc trong khoang miệng, được hình thành từ vụn thức ăn và vi khuẩn lưu trong khoang miệng lâu ngày. Ít người quan tâm đến màu sắc của cao răng và biết rằng những biểu hiện của chúng sẽ nói lên được sức khỏe răng miệng của bạn ra sao.
Vậy cao răng màu gì? Dựa trên thực tế, các chuyên gia nha khoa chia màu sắc của cao răng ra làm 3 loại:
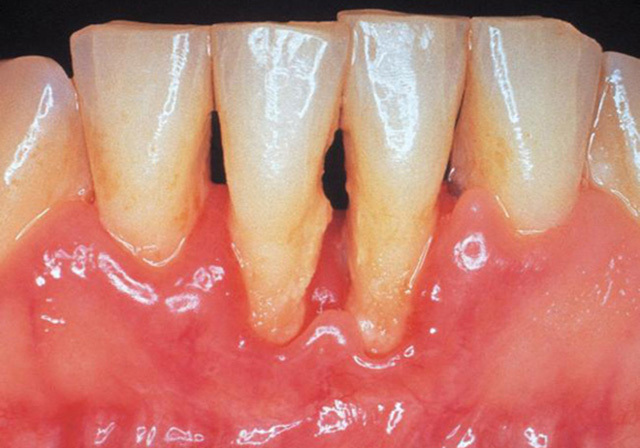
🔴 Cao răng màu vàng nhạt: Đây là màu sắc cao răng cơ bản nhất và phổ biến ở nhiều người. Loại cao răng này được hình thành từ cặn thức ăn và muối vô cơ cùng vi khuẩn, bám vào thân răng (thường ở mặt sau) và nếu để lâu sẽ lan xuống phần nướu chân răng bên dưới.

🔴 Cao răng màu đỏ (hoặc nâu đỏ): Đây chính là cao răng huyết thanh và thường xuất hiện ở bên dưới nướu. Trên thực tế, bạn đầu chúng chỉ là cao răng có màu vàng bình thường nhưng không được xử lý kịp thời nên gây ra các bệnh về nướu.
Khi nướu bị bệnh, mô mềm này sẽ rất dễ bị tổn thương, chảy máu hoặc chảy mủ. Máu khi ngấm vào cao răng sẽ biến chúng thành màu đỏ hoặc nâu đỏ.

🔴 Cao răng màu đen: Màu sắc xấu xí này được coi như là mức phát triển cao nhất của cao răng. Nếu bạn tiếp tục “sống chung” với cao răng huyết thanh bên trên, phót lờ tình trạng viêm lợi, chảy máu và chảy mủ thường xuyên trong khoang miệng thì cao răng lúc này sẽ biến thành màu đen. Ngoài ra, một số thói quen xấu như thường xuyên hút thuốc hay ăn các thực phẩm tối màu cũng khiến cao răng chuyển sang màu đen.
Trong một số trường hợp, cao răng màu đen cũng có thể xuất phát từ nguyên nhân sâu răng. Đây là mức màu sắc báo động, cảnh báo về những nguy hiểm liên quan đến sức khỏe răng miệng mà bạn cần lưu ý và nhanh chóng có biện pháp khắc phục kịp thời trước khi chúng gây ra biến chứng.

2/ Những nguy cơ tiềm ẩn của cao răng trên khuôn hàm
Cao răng màu gì sẽ phụ thuộc vào thời gian tồn tại của nó và tình trạng bệnh lý răng miệng cụ thể. Dù xuất hiện với màu sắc như thế nào thì nó cũng gây ra một loạt những rắc rối, thậm chí tiềm ẩn cả nguy cơ mất răng hoàn toàn nếu bạn tiếp tục chủ quan.
➤ Cao răng màu vàng nhạt gây mất thẩm mỹ khi cười nói, giao tiếp. Đồng thời, những mảng bám cao răng còn là tác nhân gây mùi hôi miệng khó chịu và là khởi nguồn cho tình trạng viêm nướu (lợi), chảy máu và khiến chính bản thân chúng bị chuyển màu.

➤ Khi cao răng bình thường trở thành cao răng huyết thanh (màu đỏ), sức “công phá” của chúng sẽ lớn hơn rất nhiều. Lúc này, bạn sẽ phải đối mặt với các nguy cơ bệnh lý răng miệng nguy hiểm hơn rất nhiều lần như viêm nướu răng, viêm nha chu, tụt nướu chân răng, viêm tủy răng, tiêu xương răng…
➤ Cao răng màu đen là tình trạng báo động, nó hoàn toàn có thể cướp đi tất cả những chiếc răng trên khuôn hàm của bạn chỉ trong một thời gian ngắn. Cũng giống như cao răng huyết thanh, cao răng màu đen gây ra một loạt biến chứng nguy hiểm, thậm chí còn ảnh hưởng đến cả sức khỏe.
Cao răng làm sức đề kháng của cơ thể bị giảm sút và có thể làm trầm trọng hơn các bệnh về tim mạch hay tiểu đường.

3/ Làm sao để xử lý cao răng hiệu quả?
Dù cao răng màu gì, nhiều hay ít thì nó cũng gây ra những ảnh hưởng không mấy tích cực đối với sức khỏe răng miệng. Đây chính là lý do mà các chuyên gia nha khoa khuyên bạn nên thực hiện lấy cao răng định kỳ 3 – 6 tháng/lần.
Việc lấy cao răng rất đơn giản, tốn ít thời gian và chi phí không cao, chính vì thế mà bạn nên thực hiện lấy cao răng sớm, trước khi chúng gây ra biến chứng. Tại Nha khoa DDS, bác sĩ sẽ sử dụng máy lấy cao răng siêu âm chuyên dụng để làm rơi các mảng bám ra ngoài và làm sạch triệt để chúng, không làm ảnh hưởng đến men răng cũng như vùng nướu răng bên dưới.
Trong trường hợp cao răng ở dạng bình thường, bác sĩ chỉ mất khoảng 20 – 30 phút để làm sạch cao răng kết hợp đánh bóng mặt răng. Tuy nhiên, nếu cao răng đã gây ra bệnh lý trong khoang miệng thì sau khi lấy cao răng, bác sĩ sẽ cần thực hiện các bước điều trị bệnh, việc này có thể mất nhiều thời gian và nhiều lần đến nha khoa hơn.

Dù lấy cao răng được xếp trong nhóm dịch vụ đơn giản nhưng tuyệt đối không được thực hiện việc này tại nhà. Mọi tác động sai cách đến răng miệng đều là nguyên nhân dẫn đến hàng loạt bệnh lý nguy hiểm và tăng nguy cơ làm tổn thương men răng cũng như các vùng mô mềm nhạy cảm. Trên thực tế thì cao răng cũng không thể dễ dàng có thể lấy ra bằng cách cạo tay hay đánh răng thông thường.
Hãy quan sát xem cao răng màu gì trong khoang miệng của bạn và theo dõi lại lịch lấy cao răng của bản thân, có thể đã đến lúc bạn cần đến nha sĩ để thực hiện biện pháp chăm sóc răng miệng cơ bản này rồi đó!


