Viêm nha chu được đánh giá là một trong những bệnh răng miệng nguy hiểm nhất và ẩn chứa nhiều nguy cơ mất răng hoàn toàn. Nếu bạn đang có những dấu hiệu bệnh viêm nha chu, hãy đến ngay nha khoa để được thăm khám và có biện pháp điều trị sớm nhất trước khi xảy ra những biến chứng không mong muốn.
1/ Bệnh viêm nha chu là gì?
Nhiều người thường nhầm lẫn các dấu hiệu bệnh viêm nha chu với dấu hiệu của bệnh viêm lợi, đồng thời với đó 2 căn bệnh này cũng rất dễ bị nhầm lẫn với nhau. Trên thực tế, viêm nha chu bao gồm cả viêm lợi hay nói cách khác, viêm nha chu là giai đoạn phát triển nặng hơn của viêm lợi không được điều trị sớm.

Nha chu là một tổ chức quanh răng bao gồm lợi (hay nướu răng), xương ổ răng, xương quanh chân răng và hệ thống dây chằng nha chu. Bệnh viêm nha chu chính là tình trạng viêm nhiễm hoặc đang trong quá trình viêm nhiễm các bộ phận thuộc nhóm nha chu. Thông thường, tình trạng viêm nhiễm này xuất phát từ lợi, sau đó lan vào xương chân răng, xương ổ răng và cuối cùng là hệ thống dây chằng. Tỉ lệ mất răng do viêm nha chu gây ra là rất cao.
Các yếu tố nguy cơ gây bệnh bao gồm: việc vệ sinh răng miệng sai cách, chế độ dinh dưỡng không khoa học, sự thay đổi hormon trong cơ thể (chủ yếu ở phụ nữ mang thai), một số thói quen xấu như hút thuốc lá, biến chứng của bệnh tiểu đường…
2/ Dấu hiệu bệnh viêm nha chu không thể bỏ qua

Nếu bạn đang cảm nhận thấy những sự thay đổi dưới đây trong miệng mình – chắc chắn chúng là dấu hiệu bệnh viêm nha chu, cảnh báo tình trạng răng miệng bạn đang gặp vấn đề nghiêm trọng:
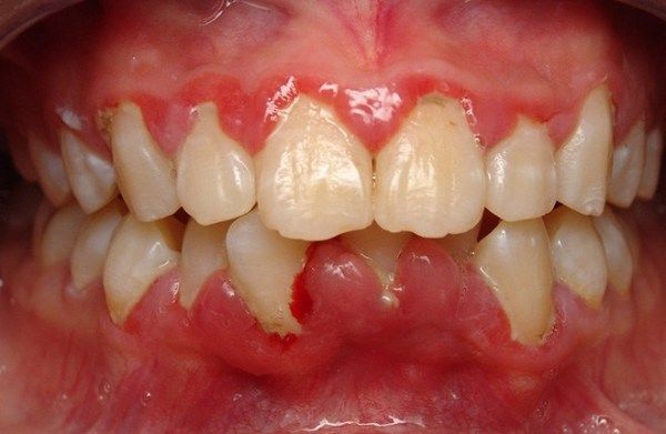
+ Lợi sưng khác thường
Thông thường, phần lợi khỏe mạnh sẽ có màu hồng nhạt, ấn vào có sự đàn hồi và chắc khỏe nhất định. Khi có dấu hiệu bệnh lý, lợi sẽ chuyển hồng đậm, đỏ và đi kèm với đó là sưng to. Khi bệnh nặng hơn, bạn có thể quan sát được cả mủ và máu ở lợi quanh chân răng.
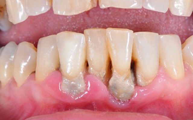
+ Cao răng “ăn” sâu xuống nướu
Cao răng được hình thành trong khoang miệng do mảng bám thức ăn lâu ngày gây ra, những mảng bám này thông thường bám trên thân răng hoặc cũng có thể lan xuống nướu 1 chút với số lượng không đáng kể. Tuy nhiên nếu đang bị viêm nha chu, phần cao răng sẽ khác lạ hơn bình thường, chúng lan sâu xuống dưới nướu thành những mảng dày có màu vàng đậm (hoặc đen) do ngấm máu và mủ.

+ Tụt lợi chân răng
Cùng với sưng mủ, các mô lợi xung quanh chân răng cũng bị mòn đi (hoặc co lại, kéo vào sâu bên dưới chân răng. Phần chân răng bị lộ ra ngoài khiến thân răng dài hơn bình thường và kẽ răng hở to hơn. Tình trạng này khiến cho việc ăn nhai bị ảnh hưởng, chân răng lỏng lẻo hơn và thức ăn thường xuyên mắc vào các kẽ răng.
+ Xuất hiện túi mủ
Túi mủ hay túi nha chu xuất hiện khi tình trạng viêm nha chu đã trở nên nghiêm trọng hơn, nó được hình thành giữa nướu và khe răng. Túi nha chu này sẽ càng ngày càng có chiều hướng sâu xuống bên dưới và khiến cho phần xương răng bị tiêu biến nghiêm trọng.

+ Mùi hôi miệng xuất hiện
Viêm nhiễm có cao răng gây ra mùi hôi miệng là điều không thể tránh khỏi. Mùi hôi cơ bản giống với mùi hôi miệng thông thường, tuy nhiên nếu là người nhạy cảm thì bạn sẽ còn ngửi thấy mùi tanh – đây chính là mùi do máu và mủ ở phần chân răng gây ra.
Tất nhiên, những dấu hiệu này không đồng nhất xuất hiện hoặc cũng có thể có thêm những biểu hiện liên quan. Ở giai đoạn đầu, những biểu hiện này thường không quá rõ ràng nên hầu hết mọi người đều bỏ qua và chỉ đến khi bệnh trở nặng thì mới nhận ra và đến bác sĩ.
3/ Điều trị viêm nha chu – không thể chần chừ!
Khi thấy một trong những dấu hiệu bệnh viêm nha chu, bạn nên đến nha khoa càng sớm càng tốt. Việc điều trị muộn sẽ làm tăng thêm chi phí cũng như thời gian, thậm chí còn không thể chữa khỏi hoàn toàn được mà dẫn đến mất răng vĩnh viễn.

Dựa vào tình trạng của từng người mà bác sĩ sẽ đưa ra biện pháp điều trị phù hợp:
+ Nếu bạn thuộc nhóm viêm nha chu nhẹ, chưa xuất hiện túi mủ: Bác sĩ thực hiện cạo sạch cao răng nhằm loại bỏ môi trường tồn tại của vi khuẩn gây bệnh. Sau đó kết hợp dùng thêm thuốc kháng sinh theo đơn của bác sĩ tại nhà để điều trị bệnh.
+ Nếu trong khoang miệng bạn đã xuất hiện các túi nha chu: Lúc này bác sĩ sẽ cần thực hiện phẫu thuật túi nha chu. Bước đầu tiên vẫn là loại bỏ hoàn toàn cao răng, sau đó bác sĩ sẽ sử dụng những liệu pháp nha khoa để mở túi viêm và nạo sạch nó. Khi túi viêm đã được loại bỏ, các biện pháp kháng viêm và cầm máu sẽ được tiến hành.
Thông thường việc nạo túi nha chu chỉ diễn ra trong 1 lần là hoàn thành, tuy nhiên cũng có những trường hợp túi nha chu lớn hơn và sâu hơn thì bác sĩ phải thực hiện nạo nhiều lần mới làm sạch được triệt để tình trạng viêm nhiễm.
+ Nếu viêm nha chu quá nặng: Khi viêm nha chu phát triển và tấn công vào tất cả các tổ chức bên trong, dây chằng bị lỏng lẻo, xương chân răng tiêu biến và nướu biến mất thì chân răng sẽ không còn đủ sức để tồn tại nữa – lúc này nhổ răng là việc bắt buộc. Sau khi nhổ bỏ chiếc răng ở vị trí viêm nha chu, bác sĩ sẽ điều trị chấm dứt hoàn toàn tình trạng này và trồng lại răng mới để đảm bảo ăn nhai cũng như thẩm mỹ cho khuôn hàm.

Để được tư vấn cụ thể hơn về những dấu hiệu bệnh viêm nha chu, bạn có thể liên hệ đến Nha khoa Navii theo số hotline 024.3747.8292 – các chuyên gia nha khoa sẽ giúp bạn giải đáp mọi vấn đề.


