Hàn răng là phương pháp phục hình đơn giản giúp khôi phục răng sâu, răng bị vỡ mẻ lại hình dáng ban đầu một cách nhanh chóng. Vậy hàn răng loại nào tốt? Nên hàn răng ở đâu Hà Nội? Thắc mắc này sẽ được Bác sĩ của DDS giải đáp qua bài viết dưới đây.
1. Hàn răng loại nào tốt?
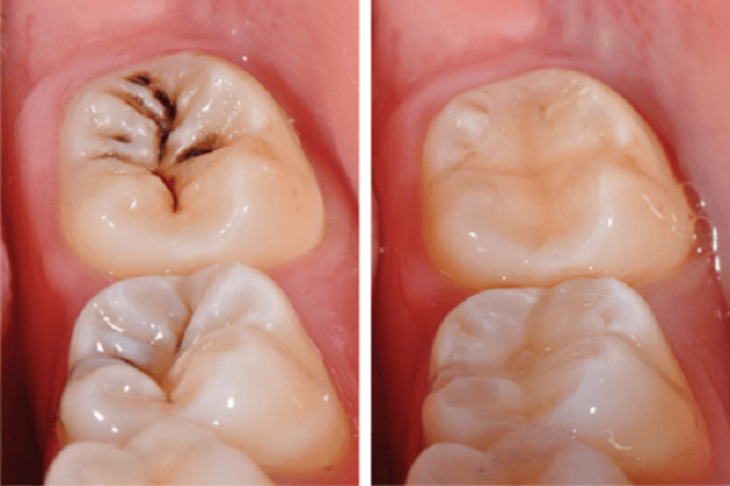
Hàn răng là hình thức lấp đầy khoảng trống của răng gây ra bởi sâu răng, mòn răng, răng bị chấn thương bằng những vật liệu nha khoa chuyên dụng. Hình dáng và màu sắc của răng được phục hồi không khác gì răng thật.
Đây là kỹ thuật nha khoa khá đơn giản. Sẽ không có bất cứ sự can thiệp nào vào răng như mài cùi hay chụp răng.

Vật liệu chuyên dụng được dùng để hàn răng phổ biến nhất hiện nay là Composite, thứ 2 là nhóm xi măng thủy tinh, thứ 3 là Amalgam, thứ 4 là vật liệu trám sứ Inlay/Onlay.
1.1. Hàn răng bằng Composite
Hàn răng Composite còn được gọi là hàn răng thẩm mỹ. Composite là loại vật liệu mới nhất hiện nay, rất được ưa chuộng ở nước ngoài và được sử dụng phổ biến tại Việt Nam những năm gần đây.
Ưu điểm:
- Có tính thẩm mỹ cao, giống màu răng tự nhiên.
- Độ cứng, độ chịu lực, chịu mòn của Composite khá cao

Nhược điểm:
- Hàn Composite có giá thành khá cao so với các loại còn lại.
- Có thể bị bong tróc nếu chịu lực nhai quá mạnh, hoặc chịu kích thích nóng lạnh đột ngột.
1.2. Hàn răng bằng Amalgam
Amalgam là hợp kim gồm: thủy ngân, bạc, đồng,… Đây là loại vât liệu có từ lâu đời, thường được gọi là trám bạc vì có màu giống màu bạc.
Ưu điểm:
Vật liệu Amalgam có chi phí thấp nhưng tuổi thọ cao, độ bền tốt và chịu được lực nhai cắn mạnh.

Nhược điểm:
- Tính thẩm mỹ không cao do không trùng với màu răng. Vì vậy, hàn Amalgam không được khuyến khích dùng để hàn răng cửa.
- Amalgam có khả năng gây ra kích ứng với cơ thể, nhất là những phụ nữ có thai không nên sử dụng để tránh dị ứng có thể xảy ra.
1.3. Hàn răng bằng xi măng thủy tinh
Vật liệu này ra đời sau Amalgam, được dùng chủ yếu để trám các lỗ xoang lớn, có màu trắng đục.
Ưu điểm:
- Chi phí rẻ, giống với răng thật.
- Trong hỗn hợp có chứa Flour chống sâu răng.
- Bám vào răng rất chắc, ít có trường hợp rơi ra sau khi trám.
Nhược điểm:
- Khả năng chịu lực và chống mòn kém. Vì vậy, chỉ được dùng để hàn cổ răng – nơi dễ phát sinh sâu răng và ít chịu lực tác động.
1.4. Hàn răng Inlay/Onlay
Là vật liệu bằng chất liệu sứ đảm bảo được tính thẩm mỹ và độ bền chắc ngang với bọc răng sứ. Inlay/Onlay thường được áp dụng cho những trường hợp răng bị sâu nặng.
🔹 Xem thêm: Ưu – nhược điểm của hàn răng Inlay/Onlay
Như vậy, hàn răng loại nào tốt phụ thuộc vào tình trạng, vị trí của răng bị tổn thương và mong muốn của khách hàng làm răng thiên về thẩm mỹ hay về khả năng ăn nhai. Đương nhiên, để có chất lượng hàn răng tốt nhất, bạn cần đến các địa chỉ nha khoa uy tín, có Bác sĩ chuyên môn giỏi và cơ sở vật chất, trang thiết bị hiện đại.

2. Hàn răng giá bao nhiêu?
Chi phí dịch vụ hàn răng tùy thuộc vào chất liệu mà bạn chọn. Bạn có thể tham khảo chi tiết giá hàn răng tại DDS Dental như sau:

3. Yếu tố ảnh hưởng đến chất lượng hàn răng
Độ bền, đẹp của một ca hàn răng phụ thuộc vào các yếu tố sau:
- Bác sĩ thực hiện có tay nghề cao
- Phương pháp hàn răng hiện đại. Đáp ứng tiêu chí nhanh gọn – hiệu quả
- Cơ sở vật chất phòng khám sạch sẽ, tiện nghi
- Chi phí thực hiện hợp lý.
4. Địa chỉ hàn răng uy tín ở Hà Nội
Nha khoa DDS được thành lập dưới sự chỉ đạo của Ths.BS Lê Thị Thái Hòa, chuyên gia về thẩm mỹ và phục hồi răng hàm mặt. Chúng tôi tự hào là địa chỉ chăm sóc răng miệng của hơn 20.000 khách hàng trong và ngoài nước trong thời gian qua.
Mọi thiết bị và dụng cụ y tế được sử dụng tại các Phòng khám đều là loại máy và công nghệ hiện đại nhất được giới chuyên khoa khuyên dùng. Đặc biệt, hệ thống vô trùng theo quy chuẩn bệnh viện đảm bảo an toàn cho mọi bệnh nhân khi đến khám và điều trị tại DDS, dù là sử dụng tiểu phẫu nhỏ nhất.

Hi vọng bài viết trên đây đã giải đáp thắc mắc Hàn răng loại nào tốt của bạn.
Để đặt lịch hàn răng hoặc thăm khám và tư vấn hoàn toàn Miễn Phí, bạn đặt lịch qua Hotline 024.3747.8292 để được phục vụ chu đáo nhé.
🔹 Xem thêm: Hàn Răng Sâu Miễn Phí Với Thẻ Bảo Hiểm


