Mỗi khi bị sâu răng, chúng ta luôn luôn bị hành hạ bởi những cơn đau bất chợt trong ngày, đặc biệt là trong mỗi bữa ăn. Tình trạng này kéo dài sẽ làm giảm chất lượng sống của chúng ta, ảnh hưởng trực tiếp đến bữa cơm hàng ngày và cả giấc ngủ.
Lúc này, biện pháp hàn răng sẽ là cứu tinh cho bạn. Tuy nhiên hàn răng sâu có phải là cách chữa sâu răng triệt để không? Cùng nghe tư vấn từ Bác sĩ Nguyễn Lương Hà của DDS bạn nhé.
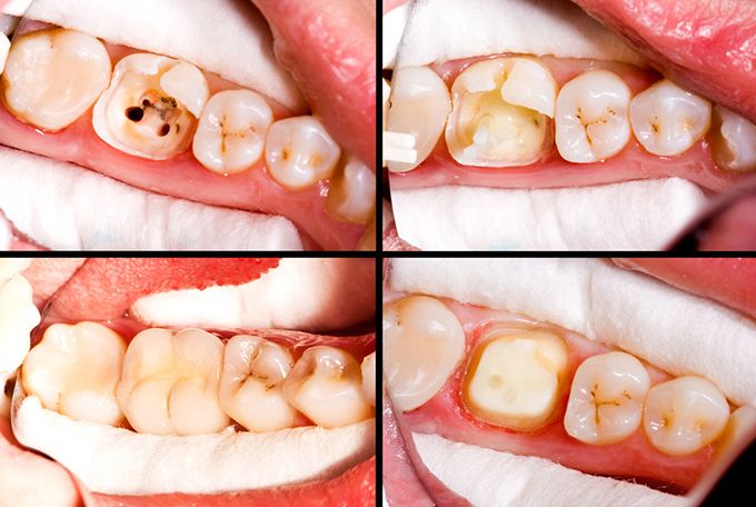
1. Sâu răng là gì?
Sâu răng là tình trạng có các lỗ hổng ở răng, đây là kết quả do hoạt động của vi khuẩn. Sâu răng là bệnh lý phổ biến có thể xuất hiện ở bất kỳ độ tuổi nào. Nếu không được điều trị, lỗ sâu sẽ lớn dần và tấn công vào các lớp sâu hơn của răng. Nguyên nhân gây sâu răng chủ yếu đến từ chế độ ăn giàu đường và tinh bột mà không được vệ sinh triệt để. Lười đánh răng hoặc chải răng không đúng cách cũng khiến bạn dễ mắc sâu răng hơn.

Triệu chứng thường gặp của bệnh sâu răng bao gồm:
- Đau răng;
- Răng nhạy cảm;
- Đau nhẹ hoặc buốt răng khi ăn hoặc uống đồ ngọt, nóng hay lạnh;
- Lỗ sâu có thể thấy được hoặc trong răng xuất hiện hố lõm;
- Bề mặt của răng (cả trong lẫn ngoài) ngả màu nâu, đen hoặc trắng;
- Đau khi cắn.
Bệnh sâu răng có thể dẫn đến đau răng nghiêm trọng, nhiễm trùng và gãy răng. Vì vậy cần được điều trị càng sớm càng tốt.
2. Hàn răng sâu có phải là cách chữa sâu răng triệt để?
Hàn răng sâu là một kỹ thuật nha khoa đã có từ lâu. Sau khi làm sạch và nạo bỏ hết phần răng bị sâu, bác sĩ sẽ sử dụng những loại vật liệu y tế chuyên dụng như: Amalgam, xi măng Silicat, Composite… để trám lại “lỗ hổng” khiếm khuyết trên răng.
Giải pháp này giúp bệnh nhân lấy lại khả ăn nhai và thẩm mỹ tương đối.
Đặc biệt, hàn răng có chi phí khá rẻ, dao động từ 300.000 – 400.000 VNĐ/ răng nên phù hợp với điều kiện kinh tế của nhiều người. Tuy nhiên, hàn răng chỉ phù hợp khi răng bị tổn thương ở giai đoạn đầu, chưa ăn sâu vào tủy.
Vì lỗ sâu càng lớn thì khả năng vết trám bị bong bật càng cao. Cộng thêm các va chạm hoặc kích thích từ lực nhai, axit từ thực phẩm sẽ khiến miếng trám bong ra khỏi vị trí.
Khi miếng trám bị bong tróc, vi khuẩn lại tiếp tục tấn công vào các lỗ sâu vào bên trong răng khiến răng bị tổn thương nghiêm trọng hơn.

Khi vết sâu răng quá lớn, bạn cần bọc răng sứ để bảo vệ răng tốt hơn. hàn răng sẽ không giúp bạn được nhiều trong trường hợp này nữa.
Với bọc răng sứ, bác sĩ sẽ sử dụng dụng cụ chuyên dụng để mài đi lớp men răng bên ngoài của răng cần phục hình thành những trụ nhỏ, rồi chụp một mão sứ có hình dáng và thẩm mỹ như răng thật lên phía trên.
Bọc răng sứ không chỉ phục hình làm nâng cao tính thẩm mỹ của răng, mà nó còn giúp bảo vệ răng thật bên trong tránh những tác động của các bệnh lý khác.

Như vậy, hàn răng không phải là cách chữa sâu răng triệt để, nhưng là giải pháp phù hợp và tiết kiệm khi lỗ hổng trên răng bé, chưa cần thiết phải bọc răng sứ.
- Xem thêm: Bọc Răng Sứ Cho Răng Sâu Như Thế Nào?
3. Những điều cần biết sau khi hàn răng sâu
Sau khi loại bỏ hết phần mô răng bị sâu và hàn răng, bạn sẽ không còn cảm thấy đau nữa. Tuy nhiên, bạn cần chú ý một số điều dưới đây để giữ vết trám được lâu nhất:
Tránh ăn uống sau 2 tiếng hàn răng
Khi chiếu đèn laser- giai đoạn cuối của quá trình hàn răng, vật liệu đã được đông cứng trên răng nhưng sau đó cũng cần có thời gian để đông đặc và khô hoàn toàn. Vì vậy, bạn cần tránh ăn trong khoảng thời gian này để tạo cơ hội cho chất trám liên kết bền vững nhất với các mô răng.
Chế độ ăn sau hàn răng
Bạn nên ăn các loại thức ăn mềm, dễ nhai như súp, cháo… vào những ngày đầu sau hàn răng.

Chăm sóc răng miệng sau khi hàn răng
Bạn nên chải răng đúng cách mỗi ngày 2 lần sau bữa ăn với bàn chải lông mềm, chú ý chải đều các mặt răng nhé. Bạn nên lựa chọn thật kỹ loại kem đánh răng, muối, nước súc miệng có hàm lượng Fluor cao trong khoảng 0,2% để phục vụ cho nhu cầu làm sạch răng miệng.
Đừng quên khám răng định kỳ, để luôn luôn kiểm soát được tình trạng sức khỏe răng miệng. Nếu như miếng trám bị mòn, bể thì bạn nên trám lại càng sớm càng tốt, để tránh tình trạng mòn răng ăn sâu vào trong.
Hy vọng qua bài viết này, bạn đã phần nào nắm được hàn răng sâu có phải là phương án phù hợp cho tình trạng của mình hay không.
Để biết được chính xác tình trạng sâu răng của bạn phù hợp với phương pháp bọc răng sứ hay hàn răng, bạn cần đến các phòng khám nha khoa uy tín để bác sĩ khám và tư vấn trực tiếp.
Tại DDS Dental, bạn sẽ được bác sĩ thăm khám và tư vấn hoàn toàn Miễn Phí. Bệnh nhân đến với DDS luôn được tư vấn giải pháp giúp bảo tồn răng tối đa và tiết kiệm nhất.
Để đặt lịch, bạn liên hệ Hotline 024.3747.8292 nhé.


