nho-rang-so-8-co-dau-khong
Nhổ răng số 8 có đau không?
nen-an-gi-sau-nho-rang-khon
Sau khi nhổ răng khôn nên ăn gì và kiêng ăn gì?
nho-rang-khon-moc-ngam
Nhổ răng khôn ở đâu uy tín
nen-nho-rang-o-dau
Tùy từng tình trạng răng sẽ có mức giá nhổ răng bằng bảo hiểm khác nhau
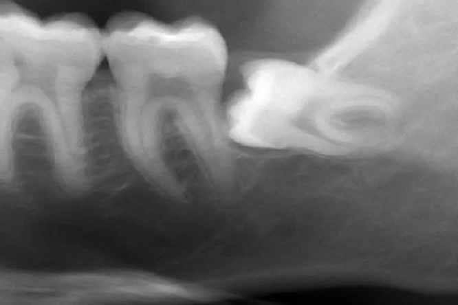
Nhổ răng khôn được chỉ định nhổ bỏ khi mọc ngầm, mọc lệch,..
Nhổ răng khôn được chỉ định nhổ bỏ khi mọc ngầm, mọc lệch,..
chú ý khi nhổ răng khôn
Chú ý khi nhổ răng khôn.
nhổ răng khôn mọc lệch 90 độ
Nhổ răng khôn mọc lệch 90 độ.
Rate this post

Để lại một bình luận

Email của bạn sẽ không được hiển thị công khai. Các trường bắt buộc được đánh dấu *

Zalo