Răng bị nhiễm màu kháng sinh không thuộc nhóm bệnh lý răng miệng, nó cũng không gây ra nguy hiểm hay ảnh hưởng gì đến việc ăn nhai. Tuy nhiên, tình trạng này lại là “nỗi ám ảnh” chung của rất nhiều người vì nó lấy đi sự tự tin và cảm giác thoải mái trong cuộc sống, đặc biệt đối với lứa tuổi thanh thiếu niên và những người làm nghề thiên về lĩnh vực ngoại giao, cần phải giao tiếp nhiều.
1/ Nguyên nhân nào khiến răng bị nhiễm màu kháng sinh
Màu răng nguyên thủy sẽ trắng ngà, sau đó do tác động của nước bọt hoặc thức ăn, màu trắng ngà này sẽ ngả dần sang vàng nhạt hoặc vàng đậm tùy vào cách ăn uống và chăm sóc răng miệng của từng người.
Tuy nhiên, một số người khi trưởng thành răng sẽ có màu vàng xám, vàng đen hoặc xám đen – đây chính là tình trạng răng bị nhiễm màu kháng sinh. Răng nhiễm kháng sinh hay gọi một cách đầy đủ là răng nhiễm kháng sinh Tetracycline (Tetra).

Loại kháng sinh này thường được dùng để hỗ trợ điều trị các bệnh liên quan đến nhiễm khuẩn. Tuy nhiên, “tác dụng ngược” của nó là gây biến đổi màu răng và làm giảm khả năng sản sinh men răng. Các loại thuốc chứa thành phần Tetra phổ biến trong khoảng những năm 40 – 80 ở Việt Nam (thời kỳ chiến tranh) do thời kỳ này không có quá nhiều loại thuốc để lựa chọn.
Những trường hợp thường bị nhiễm màu kháng sinh bao gồm:
➤ Phụ nữ có thai dùng thuốc khiến em bé sau này sinh ra có thể bị ảnh hưởng màu răng
➤ Trẻ em dưới 8 tuổi dùng quá nhiều kháng sinh có chứa Tetra sau này trưởng thành cũng sẽ bị nhiễm màu răng kháng sinh

Hiện nay, các thuốc có thành phần chứa Tetra đã được hạn chế để sử dụng điều trị cho phụ nữ mang thai và nhóm trẻ em dưới 8 tuổi, tuy nhiên bạn cũng nên cẩn trọng và tham khảo kỹ về thành phần thuốc trước khi dùng, tránh sử dụng kháng sinh một cách tùy tiện.
2/ Các cấp độ nhiễm màu kháng sinh khác nhau của răng
Tình trạng răng bị nhiễm màu kháng sinh sẽ có sự khác nhau ở từng người. Cấp độ nhiễm màu còn phụ thuộc vào thời điểm dùng thuốc, liều lượng dung nạp và cơ địa của từng người. Sự khác nhau này biểu hiện ở những dải màu khác nhau trên răng, cụ thể như sau:
➤ Cấp độ 1: Màu răng vàng xám
Đây là cấp độ thấp nhất của màu kháng sinh, nếu nhìn sơ qua bạn có thể nghĩ rằng răng mình chỉ là ố vàng do thực phẩm nhưng nếu quan sát kỹ hơn thì sẽ thấy những vệt màu xám nhạt ở giữa thân răng hoặc chân răng.
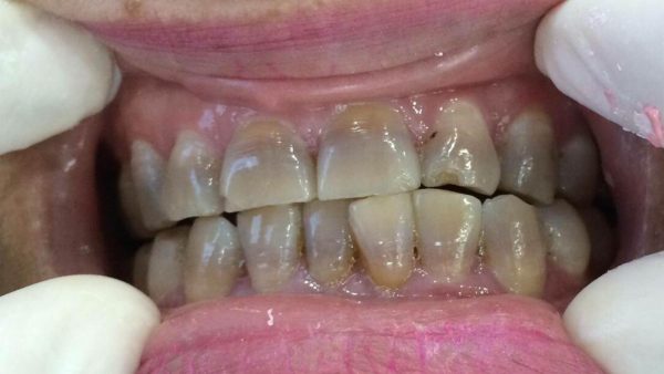
➤ Cấp độ 2: Màu vàng đen
Ở cấp độ này, bạn có thể dễ dàng quan sát thấy những vệt vàng và đen đan xen rõ rệt ở thân răng và chân răng.
➤ Cấp độ 3: Màu xám đen

Lúc này, màu vàng ngà đã mất hoàn toàn, răng bạn nhìn như một chiếc răng đã chết tủy với màu xám đen bao trùm toàn bộ thân răng. Đáng nói hơn, răng bạn còn có thể xuất hiện tình trạng bị lỗ chỗ và hình thể răng bị biến đổi. Ở cấp độ này, răng sẽ đối mặt với rất nhiều nguy cơ bệnh lý răng miệng nguy hiểm do men răng đã bị tổn thương.
3/ Tẩy trắng răng cho răng bị nhiễm màu kháng sinh có được không?
Đối với nhiều người, tẩy trắng răng là giải pháp hiệu quả trong mọi trường hợp răng nhiễm màu. Tuy nhiên, điều này không chính xác đối với tình trạng răng bị nhiễm màu kháng sinh.
Theo các chuyên gia nha khoa, tẩy trắng răng chỉ có tác dụng nếu răng bạn nhiễm kháng sinh ở cấp độ 1. Ngoài ra, bạn có thể sẽ cần 2 – 3 lần tẩy trắng răng (hoặc nhiều hơn) để giải quyết triệt để tình trạng này dù chỉ là ở cấp độ thấp nhất.
Để tẩy trắng răng cho răng nhiễm kháng sinh cấp độ 1, bác sĩ sẽ bôi một lớp kem tẩy trắng răng chuyên dụng lên toàn bộ thân răng, sau đó chiếu ánh sáng laser để hoạt hóa thuốc, giúp thuốc ngấm vào bên trong và làm trắng răng từ trong ra ngoài.

Để có màu răng như ý, bạn có thể sẽ mất thêm khoảng 2 – 3 lần tẩy trắng răng như vậy, mỗi lần cách nhau khoảng 5 – 6 tháng tùy theo chỉ định của bác sĩ nha khoa.
4/ Giải pháp tốt nhất cho tình trạng nhiễm màu kháng sinh trên răng
Răng bị nhiễm màu kháng sinh nặng hoặc điều kiện men răng yếu không nên thực hiện tẩy trắng răng sẽ được chỉ định bọc răng sứ. Phương pháp này là giải pháp tốt nhất cho tình trạng nhiễm màu kháng sinh nặng, đồng thời có thể kết hợp bảo vệ men răng trong trường hợp men răng bị rỗ.
Để bọc răng sứ, bác sĩ sẽ thực hiện mài răng thật theo tỉ lệ chuẩn, sau đó thiết kế răng sứ phù hợp để chụp lên cùi răng đã mài. Răng sứ sẽ được cố định lại chắc chắn trên khuôn hàm bằng keo nha khoa và sẽ thay thế hoàn toàn răng thật của bạn.

Ngoài bọc răng sứ, nhiều người còn lựa chọn phương pháp dán mặt sứ để khắc phục tình trạng răng nhiễm màu kháng sinh vì phương pháp này sẽ yêu cầu mài răng ít hơn. Tuy nhiên, trong một số trường hợp mặt dán sứ quá mỏng sẽ không che phủ được hoàn toàn màu sắc bên trong.
Để được tư vấn về cách khắc phục răng bị nhiễm màu kháng sinh phù hợp nhất trong trường hợp của mình, bạn nên đến trực tiếp nha khoa để được thăm khám và nghe bác sĩ tư vấn một cách cụ thể. Để đặt lịch khám hoặc cần tư vấn thêm về các vấn đề nha khoa, bạn có thể liên hệ đến hotline 024.3747.8292 để được hỗ trợ tư vấn cụ thể!


