Cùng với sự phát triển của nha khoa, hiện nay có rất nhiều cách khắc phục được khuyết điểm răng thưa, trong đó nổi bật là niềng răng và bọc sứ. Tuy nhiên, nếu không có chuyên môn nha khoa, bạn khó lòng tìm ra phương pháp nào phù hợp với tình trạng của mình. Vậy răng thưa nên niềng hay bọc sứ? Bác sĩ Lê Thị Thái Hòa – bác sĩ chuyên môn tại Nha khoa DDS sẽ giúp bạn giải đáp qua bài viết dưới đây.
1/ Răng thưa là gì?
Trước khi tìm hiểu răng thưa nên niềng hay bọc sứ, bạn nên hiểu về tình trạng này và xác định nguyên nhân răng thưa trong trường hợp cụ thể của mình.
Răng thưa là tình trạng các thân răng trên cung hàm mọc không sát khít, cách nhau một khoảng nhất định. Răng thưa ảnh hưởng lớn đến thẩm mỹ, khiến bạn “mất điểm” trong mắt người đối diện khi giao tiếp. Việc ăn nhai cũng có thể bị ảnh hưởng nếu răng thưa ở mức độ lớn.

Một vài nghiên cứu còn chỉ ra rằng răng thưa còn khiến lực nhai yếu đi, có thể dẫn đến viêm khớp thái dương hàm. Đồng thời, răng bạn sẽ có khả năng bị lão hóa sớm và dễ gãy rụng khi về già do lực liên kết giữa các răng yếu.
Có nhiều nguyên nhân gây ra tình trạng răng thưa, tiêu biểu có:
+ Do thiếu răng bẩm sinh hoặc răng mọc ngầm không trồi lên
+ Mất răng lâu ngày không trồng lại làm những răng bị xô lệch, ngả về vùng trống mất răng và gây thưa răng
+ Thân răng quá nhỏ trong khi khuôn hàm quá lớn
+ Do thói quen xỉa răng lâu năm cũng khiến cho các kẽ răng bị rộng ra

2/ Răng thưa nên niềng hay bọc sứ?
Niềng răng và bọc sứ là 2 phương pháp thẩm mỹ răng phổ biến trong nha khoa, về bản chất 2 phương pháp này hoàn toàn khác nhau, tuy nhiên trong một vài trường chúng lại có chung một tác dụng, trong đó có khắc phục răng thưa. Vậy răng thưa nên niềng hay bọc sứ?
Đối với bọc răng sứ:
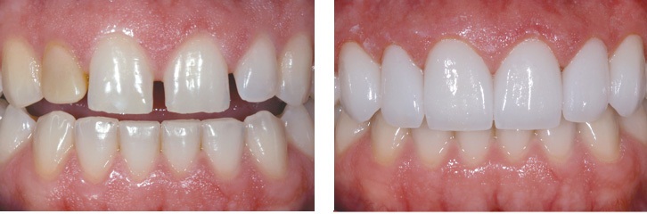
Phương pháp này được đánh giá cao về tính thẩm mỹ, bác sĩ sẽ thực hiện mài nhỏ thân răng thật, sau đó thiết kế mão răng sứ tương thích để chụp lên trên. Việc mài răng cần phải đảm bảo tỉ lệ nhất định, không được xâm lấn quá sâu vào cấu trúc răng – đây đồng thời cũng là lý do mà không phải trường hợp răng thưa nào cũng có thể bọc sứ.

Phương pháp bọc răng sứ phù hợp với trường hợp răng thưa ở mức độ nhẹ hoặc vừa, màu răng và hình thể răng xấu, răng to nhỏ bất thường. Nếu răng thưa với mức độ lớn thì không thể thực hiện bọc răng sứ vì phải mài răng nhiều và việc này sẽ gây biến chứng về sau.
Bọc răng sứ khá nhanh, thông thường khách hàng chỉ mất khoảng 2 lần hẹn tại nha khoa (3 – 5 ngày) là hoàn thành dịch vụ, khắc phục được hoàn toàn khuyết điểm răng thưa. Răng sứ được chế tạo đồng nhất cả về màu sắc và kích thước với răng thật nên nhìn rất tự nhiên và thẩm mỹ.
Đối với niềng răng:
Bằng việc gắn hệ thống các mắc cài và dây cung lên thân răng, những chiếc răng thưa sẽ được kéo về vị trí thích hợp trên khuôn hàm. Phương pháp này phù hợp với các tình trạng tình trạng răng thưa từ nhẹ đến nặng và không cần tác động đến cấu trúc răng (mài răng) như với bọc răng sứ.
Về thời gian, niềng răng sẽ mất khoảng 1 – 2 năm tùy vào tình trạng khác nhau của khách hàng. Nếu bạn niềng răng sớm (khoảng dưới 17 tuổi) thì thời gian sẽ được rút ngắn hơn rất nhiều.

LƯU Ý: Việc lựa chọn phương pháp nào có thể theo mong muốn của bệnh nhân nhưng cũng có thể theo chỉ định của bác sĩ sau khi thăm khám cụ thể. Một số trường hợp không thể bọc răng sứ nhưng nếu vẫn cố tình thực hiện sẽ khiến răng bị yếu đi và gây ra những biến chứng nguy hiểm.
Để biết răng thưa nên niềng hay bọc sứ trong trường hợp cụ thể của mình, bạn nên trực tiếp đến nha khoa thăm khám cụ thể, bác sĩ sẽ đưa ra cho bạn lời khuyên phù hợp.


