Rụng răng ở người già là hiện tượng thường gặp và gây ra nhiều khó khăn cho việc ăn nhai cũng như sinh hoạt hàng ngày. Đây là hiện tượng rụng răng sinh lý và thường bắt đầu khi cơ thể bước vào độ tuổi sau 60 (có người sớm hơn hoặc muộn hơn tùy vào cơ địa từng người và chế độ chăm sóc răng miệng). Vậy nguyên nhân của tình trạng này là gì và phải làm sao để khắc phục?
1/ Tại sao có hiện tượng rụng răng ở người già?
Có nhiều nguyên nhân gây ra hiện tượng rụng răng như tác động ngoại lực hay bệnh lý răng miệng, tuy nhiên hiện tượng rụng răng ở người già còn có những lý do riêng. Cụ thể:
+ Do “lão hóa”
Lão hóa răng là điều tất yếu xảy ra khi bạn bắt đầu bước vào tuổi trung niên hoặc cao niên. Lớp men răng bên ngoài rất cứng chắc nhưng vẫn bị bào mòn dần đi theo thời gian và quá trình bạn ăn nhai. Khi men răng bị bào mòn, chiếc răng đó sẽ trở nên yếu và rất dễ gãy rụng khi có tác động ngoại lực.

+ Do tụt lợi
Phần lợi neo giữ chân răng dần bị tụt xuống và chiếc răng của bạn mất hẳn điểm tựa. Trong nhiều trường hợp răng tự động rụng xuống mà không có bất cứ một tác động nào. Chưa kể đến việc tụt lợi diện rộng còn kéo theo nguy cơ rụng răng dây chuyền ở người già.
+ Do bệnh lý
Cũng do men răng yếu hơn so với bình thường mà người già là đối tượng thứ 2 (sau trẻ nhỏ) rất dễ mắc các bệnh răng miệng, phổ biến nhất là sâu răng, viêm nướu và viêm nha chu. Nếu không điều trị kịp thời, những bệnh lý này đều dễ dàng “cướp” đi vài chiếc răng trên khuôn hàm chỉ trong một thời gian ngắn.

+ Do chế độ ăn nhai không hợp lý
Nếu là người thường xuyên “bạo hành” hàm răng của mình bằng những đồ ăn cứng chắc, nhiều acid hay dai dính thì nguy cơ cao là bạn sẽ đối mặt với tình trạng mất răng một phần (hoặc toàn phần) trước tuổi 60 và thậm chí là sớm hơn nữa.
Ngoài ra, còn rất nhiều nguyên nhân khác khiến răng bị rụng đi khi bạn đến tuổi xế chiều. Dù là nguyên nhân gì thì việc bị mất răng cũng ảnh hưởng lớn đến ăn nhai và sức khỏe của người bệnh. Quan trọng hơn, răng mất không thể tự mọc lại được và lúc này bạn cần phục hình răng mới để đảm bảo ăn nhai chắc chắn.
2/ Hàm giả tháo lắp – Giải pháp kinh tế được nhiều người lựa chọn
Hàm giả tháo lắp là giải pháp khắc phục tình trạng rụng răng ở người già tiết kiệm và cho hiệu quả khá cao, được nhiều người lựa chọn sử dụng. Có nhiều loại hàm giả tháo lắp phù hợp với nhu cầu sử dụng và tình trạng khác nhau ở từng người.

Nha khoa DDS sẽ giúp bạn hiểu rõ hơn về một số loại hàm tháo lắp phổ biến hiện nay:
➤ Hàm giả nhựa cứng: Loại hàm “sơ khai” này có chi phí rẻ nhất, tuy nhiên tính ứng dụng không cao vì nó khá nặng, cồng kềnh và không linh hoạt khi ăn nhai.
➤ Hàm giả nhựa mềm: Loại hàm này đang dần “soán ngôi” những loại hàm tháo lắp khác vì tính thẩm mỹ và khả năng ăn nhai tương đối linh hoạt. Phần nhựa mềm ôm sát nướu nên hạn chế bung tuột như đối với loại bằng nhựa cứng.
➤ Hàm giả kim loại: Một khung kim loại sẽ thay thế cho khung nhựa để liên kết các răng lại với nhau. Loại này được đánh giá cao nhất về độ cứng chắc cũng như khả năng ăn nhai so với 2 loại trên.

>> Xem thêm: Quy trình làm hàm giả tháo lắp cho người mất răng
Tuy mức giá khá rẻ nhưng nhìn chung, các loại hàm tháo lắp đều không được đánh giá cao. Chúng không thể ngăn chặn được tình trạng tiêu xương hàm khi mất răng, bất tiện khi phải tháo ra vệ sinh nhiều lần trong ngày và một số người còn có hiện tượng hôi miệng kéo dài khi dùng hàm nhựa chất lượng kém.
Đây là lý do rất nhiều người nghĩ đến việc trồng răng Implant cho răng mất thay vì dùng hàm giả tháo lắp. Vậy phương pháp trồng răng Implant liệu có áp dụng cho người già được không?
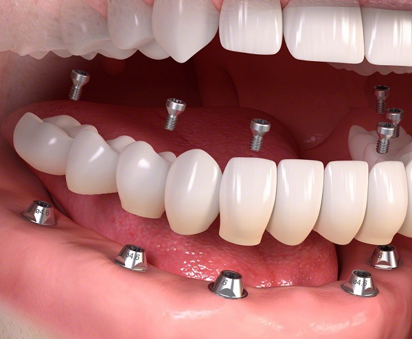
3/ Trồng răng Implant có áp dụng cho người già được không?
Luôn đứng đầu trong những giải pháp phục hình răng mất, trồng răng Implant chứng tỏ được sức mạnh của mình bằng những ưu điểm vượt trội và khắc phục được hoàn toàn những nhược điểm của hàm tháo lắp.

Trường hợp rụng răng ở người già vẫn có thể thực hiện được phương pháp này với điều kiện đáp ứng được các yếu tố:
➤ Chất lượng xương hàm còn đủ tốt, đủ mạnh để neo giữ trụ chân răng
➤ Sức khỏe trong mức ổn định
➤ Không mắc các bệnh mãn tính như tiểu đường, bệnh tim mạch, huyết áp…
➤ Người chưa từng thực hiện bất cứ dịch vụ nào liên quan đến xạ trị vùng xương hàm
Để biết trường hợp nào có thể thực hiện trồng răng, bác sĩ sẽ cần thăm khám cụ thể, thu thập thông tin về sức khỏe của bệnh nhân và khám tổng quát khoang miệng. Quan trọng nhất chính là bước chụp Xquang để đánh giá về chất lượng – khối lượng xương hàm mới có thể đưa ra phác đồ điều trị chính xác nhất.

Ngoài ra, tùy vào số lượng răng mất cụ thể mà bác sĩ sẽ đưa ra phương pháp trồng răng Implant phù hợp như trồng răng đơn lẻ, trồng nguyên hàm bằng Implant all on 4 hoặc Implant all on 6. Phương pháp áp dụng phải đáp ứng điều kiện về sức khỏe cũng như tình trạng của người bệnh.
>>> Xem thêm: Tìm hiểu về kỹ thuật cấy ghép Implant
Để được hỗ trợ tư vấn chi tiết nhất về việc rụng răng ở người già trong từng trường hợp cụ thể, bạn vui lòng liên hệ đến trung tâm hỗ trợ tư vấn của Nha khoa DDS theo số hotline 024.3747.8292, các chuyên viên sẽ giải đáp mọi vấn đề của bạn trong thời gian sớm nhất!


