Không phổ biến giống như viêm nướu hay sâu răng, tình trạng sưng mộng răng thường ít được nhắc đến và không phải ai cũng hiểu rõ về nguyên nhân cũng như dấu hiệu nhận biết bệnh cơ bản. Bài viết dưới đây sẽ giúp bạn tìm hiểu những thông tin về tình trạng này.
1/ Nguyên nhân gây ra tình trạng sưng mộng răng
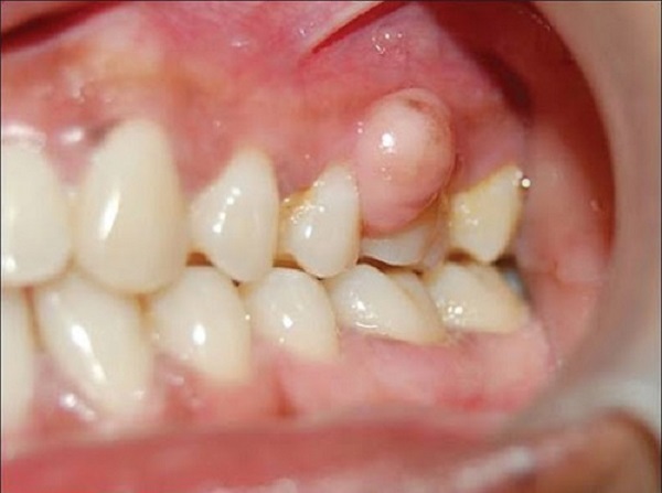
Sưng mộng răng là một trong những dạng nhiễm khuẩn trong khoang miệng, hay nói cách khác thì nó là tình trạng mà lợi phản ứng lại các tác động của vi khuẩn có hại, về bản chất thì đây chính là một trong những giai đoạn của viêm lợi (viêm nướu răng). Sưng mộng răng thường xảy ra ở vị trí răng khôn đang mọc và những răng hàm khác. Tùy vào từng trường hợp mà biểu hiện có sự khác nhau, có kèm theo mủ hoặc kèm nổi hạch ở cổ.

Nguyên nhân gây bệnh có thể kể đến:
♦ Việc vệ sinh răng miệng sai cách, không xử lý được triệt để được hết mảng bám thức ăn thừa trong khoang miệng khiến chúng tích tụ ngày một nhiều và tạo thành cao răng. Cao răng chính là tác nhân gây sưng mộng răng nói riêng và các bệnh khác trong khoang miệng nói chung.
♦ Răng khôn mọc lệch lạc tạo ra những khe hở để thức ăn dắt lại và dẫn đến viêm nhiễm. Ngoài ra, răng khôn không đâm xuyên qua nướu để mọc lên được cũng gây ra tình trạng sưng mộng răng khôn, nhiều người còn gọi là viêm lợi trùm.
♦ Mộng răng bị sưng cũng có thể xảy ra ở trẻ em trong độ tuổi mọc răng sữa hoặc thay răng vĩnh viễn nếu không đảm bảo được vấn đề vệ sinh răng miệng cho trẻ.
♦ Nếu cơ thể thiếu vitamin C thì cũng rất dễ xảy ra các vấn đề liên quan đến răng miệng mà sưng mộng răng là một vấn đề khá thường gặp.

2/ Dấu hiệu nhận biết tình trạng sưng mộng răng
Sưng mộng răng có những biểu hiện rất dễ nhận biết bằng mắt thường. Ở mỗi giai đoạn, bệnh lại có dấu hiệu khác nhau và đây cũng đồng thời là dấu hiệu cảnh báo về mức độ nguy hiểm của bệnh đang tăng dần.
Một số dấu hiệu nhận biết bệnh:
🔸 Nướu chuyển màu hồng đỏ hoặc đỏ thẫm, khi ấn tay vào thấy rất mềm, đau và không còn độ đàn hồi
🔸 Dễ bị chảy máu khi chải răng hoặc ăn nhai, nhiều trường hợp bị chảy máu lợi khi không có bất cứ tác động nào
🔸 Mùi hôi miệng xuất hiện và đặc biệt khó chịu nếu có mủ ở vùng viêm

🔸 Vùng nướu bị tuột xuống so với chân răng và khiến chân răng hở ra ngoài, răng có thể bị lung lay nhẹ khi bạn dùng tay tác động vào
🔸 Khi bệnh nặng hơn, những túi viêm (túi mủ) sẽ xuất hiện trên khuôn hàm và bắt đầu có dấu hiệu ảnh hưởng đến hệ thống nha chu bên dưới.
🔸 Vùng má bị ảnh hưởng cũng bị sưng to thêm khiến hàm bị cứng lại và cử động hàm khó khăn hơn, bạn khó có thể ăn nhai bình thường được.
Vì những dấu hiệu này có thể nhận biết dễ dàng ngay từ khi bệnh mới hình thành nên bạn cần thực hiện điều trị càng sớm càng tốt để không để bệnh tiến triển, gây ra những biến chứng về lâu dài.
3/ Phương pháp điều trị và lời khuyên của bác sĩ
Sưng mộng răng là một dạng nhiễm khuẩn và có thể sử dụng kháng sinh để điều trị. Một số thuốc được chỉ định dùng trong điều trị bệnh gồm nhóm thuốc kháng sinh beta-lactam, macrolid…; nhóm thuốc kháng viêm non-steroid và nhóm thuốc kháng viêm, giảm đau mạnh corticosteroid.
Một số trường hợp có thể dùng kết hợp thêm các thuốc giảm đau như Paracetamol hay aspirin. Tuy nhiên, sử dụng bất cứ thuốc điều trị nào cũng đều cần đến chỉ định cụ thể của bác sĩ về liều lượng cũng như thời gian.

Tuy nhiên, việc dùng thuốc chỉ có thể giảm bớt triệu chứng của bệnh mà không điều trị được tận gốc nếu bạn không quan tâm đến các yếu tố nguyên nhân. Theo đó, việc thay đổi thói quen vệ sinh răng miệng và chế độ dinh dưỡng cũng là một phần quan trọng trong toàn bộ quá trình điều trị bệnh.
Ngoài ra, nguyên nhân hàng đầu dẫn đến các bệnh lý răng miệng, trong đó có sưng mộng răng chính là cao răng – những mảng bám luôn tồn tại trong khoang miệng và không thể loại bỏ chỉ bằng cách chải răng thông thường. Bạn cần đến nha khoa thực hiện lấy sạch cao răng và sát trùng khoang miệng để loại bỏ hoàn toàn mọi mầm mống gây bệnh.
Qúa trình lấy cao răng kết hợp với sát trùng vùng viêm nhiễm sẽ không mất quá nhiều thời gian và chi phí, đảm bảo bệnh sẽ được xử lý tận gốc và không còn nguy cơ quay trở lại.
Nếu sưng mộng răng đã phát triển nặng và hình thành túi viêm chứa mủ trên thân răng, thậm chí ảnh hưởng đến xương hàm thì lúc này việc điều trị sẽ phức tạp hơn. Bác sĩ sẽ cần thực hiện tiểu phẫu cắt bỏ túi mủ và tái tạo lại các vùng bị tổn thương nếu có.

Để được tư vấn về tình trạng bệnh của mình cũng như cách điều trị phù hợp, bạn có thể liên hệ trực tiếp đến hotline 024.3747.8292 – các chuyên gia nha khoa sẽ hỗ trợ cho bạn trong thời gian sớm nhất!


